История "Голивудской улыбки"

Рекомендации перед посещением клиники

Стоматологическая клиника крокус костанай

Виниры представляют собой сверхтонкие накладки на передние зубы из керамики или композитного материала, которые крепятся с помощью специального клея. Благодаря сверхтонкой конструкции, выглядят как собственные зубы.
ЦВЕТ ЗУБОВ
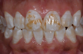
ПОРАЖЕНИЕ ЭМАЛИ
ТРЕЩИНЫ, СКОЛЫ
ДИАСТЕМА
Для тех, у кого темные или разноцветные зубы. Если после отбеливания зубов не достигается желаемый результат и хочется белоснежную улыбку.
Эрозии и клиновидные дефекты. У кого очень слабая эмаль, большой объем поражения кариесом и клиновидными дефектами. Старые и неэстетичные пломбы на передних зубах.
Виниры защищают зубы от трещин и сколов. Любой дефект передних зубов можно восстановить с помощью виниров.
В ряде случаев винирами можно решить проблемы прикуса не прибегая к ортодонтическому лечению, а также закрыть диастемы и тремы.
КОНСУЛЬТАЦИЯ
Врач делает снимок зубного ряда (дентальный фотопротокол), вместе с пациентом подбирает материал и цвет виниров. Проводится осмотр полости рта, при необходимости – компьютерная томография и санирование полости рта. Снимаются оттиски, изготавливается прототип будущих зубов. Врач переносит этот макет на зубы (без препарирования). Окончательно утверждается форма зубов.
ПРЕПАРИРОВАНИЕ
Под местным обезболиванием, с использованием оптики, с зубов, на которые будут накладываться виниры, снимается тонкий слой твердых тканей. В некоторых клинических ситуациях возможна лишь пескоструйная обработка без препарирования, для придания шероховатости эмали в местах, где будут установлены виниры.
ОТТИСК ИЛИ СКАНИРОВАНИЕ
Когда поверхность подготовлена, стоматолог делает с нее оттиск и отправляет в зуботехническую лабораторию. С применением специальных компьютерных программ и микроскопа создается винир, идеально прилегающий к зубной поверхности. Пока изготавливается керамический винир, на обточенный зуб накладывается временная пластинка, так как он отличается повышенной чувствительностью.
УСТАНОВКА
Виниры сначала устанавливаются на специальный гель для примерки. Врач и пациент оценивают цвет и форму конструкций. Далее производится фиксация по адгезивному протоколу. Это самый эффективный способ фиксации - винир превращается в "собственную эмаль зуба".
НАШИ КОНТАКТЫ
+7 7142 50 10 10
krokus_501010@mail.ru
Костанай, улица Дощанова, 19